Chest Optimization
enterprise imaging solution masthead

Chest optimization package

The chest optimization package includes our innovative software solutions, Bone Suppression and SkyFlow Plus. You will benefit from an unobstructed view on chest radiographs for faster and more precise diagnosis, as well as faster workflow with our grid-less SkyFlow Plus technology.

Highlights of the package*

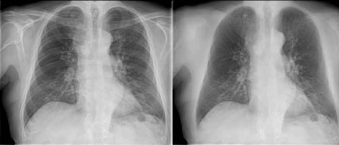
Bringing sight to the invisible

Bone Suppression

Bone Suppression**


Innovative image enhancement technology designed to increase the clarity of adult erect chest radiographs by suppressing bones on digital images.
 

  • More confident image interpretation
  • Enables detection of 1 in 6 nodules previously missed
  • Fully integrated into the Eleva workflow
  • Images automatically added to patient files

Grid-less imaging

SkyFlow Plus

SkyFlow Plus


A grid-less workflow with SkyFlow Plus.
 

  • Improves image contrast
  • Saves an average of 34 seconds per chest exam vs. grid workflow***
  • Allows for fewer retakes caused by grid misalignment
  • Supports X-ray dose management
  • Fully automatic, patient adaptive, works without special attention

SkyFlow Plus


A grid-less workflow with SkyFlow Plus.
 

  • Improves image contrast
  • Saves an average of 34 seconds per chest exam vs. grid workflow***
  • Allows for fewer retakes caused by grid misalignment
  • Supports X-ray dose management
  • Fully automatic, patient adaptive, works without special attention

Bone Suppression**


Innovative image enhancement technology designed to increase the clarity of adult erect chest radiographs by suppressing bones on digital images.
 

  • More confident image interpretation
  • Enables detection of 1 in 6 nodules previously missed
  • Fully integrated into the Eleva workflow
  • Images automatically added to patient files

*Not all packages are available for all DXR systems and package components vary per system. Windows 10 is a baseline requirement for this clinical package.

**ClearRead Bone Suppression by Riverain Technologies

***Based on 4 images on average per examination. Validated by clinicians in a Philips’ development environment.

Learn more about the dedicated upgrade and benefit programs

DigitalDiagnost C90 Rel 1.1

MobileDiagnost image
*

Contact information

* This field is mandatory

*
*
*
*
*
*
*
*
*

By specifying your reason for contact we will be able to provide you with a better service.

We work with partners and distributors who may contact you about this Philips product on our behalf.

*
*

Kompanija Philips ceni i poštuje privatnost svojih klijenata. U svakom trenutku možete da povučete date dozvole. Dodatne informacije potražite u dokumentu Philips Privacy Policy (Politika privatnosti kompanije Philips).

You are about to visit a Philips global content page

Continue

You are about to visit a Philips global content page

Continue

Our site can best be viewed with the latest version of Microsoft Edge, Google Chrome or Firefox.