MRI
 MRI in RT – a new vision




MRI in RT – a new vision
for radiotherapy

We are always interested in engaging with you.

Let us know how we can help.

1
Select your area of interest
2
Contact details

    Realizing the benefits of MRI in the radiotherapy workflow


    Despite MRI’s potential for radiotherapy, integrating the modality into the workflow can present challenges – specifically the novelty of a changed workflow and adjusting to the unique requirements for MRI use in radiation therapy versus as a diagnostic modality only .


    Whether you are looking for  a dedicated system in the RT department or for a shared service with radiology, Philips is committed to facilitating the integration of MRI and to helping you realize the benefits of MRI in radiation therapy.

    MRI in the radiotherapy workflow

    Learn how successful implementation of MRI in radiotherapy workflows can open new treatment pathways for patients.

    Discover the benefits of MRI for radiotherapy


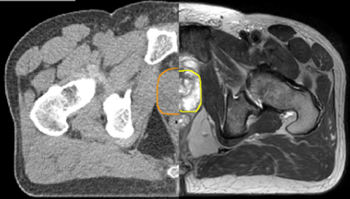
    With its exceptional soft-tissue visualization capabilities and wide range of image contrasts, MRI has become a powerful tool to help more precisely define tumor boundaries. This is particularly important as it has been established that there is a high degree of uncertainty in target volume delineation, and it is even reported to represent the largest uncertainty in the entire radiotherapy process for most tumor sites**. Better visualization of the target area and nearby organs-at-risk is a key factor in enhancing target volume delineation. MRI’s expanding role also can be attributed to its functional imaging capabilities, which can inform both target characterization and treatment response.

    Streamline your integration of MRI in the RT workflow

    mr rt1

    Ingenia MR-RT


    Ingenia MR-RT is a dedicated MR simulation platform that provides high quality, high contrast MR images acquired with the patient in treatment position. Designed for the needs of radiation oncology, this comprehensive solution provides the tools and software needed for versatile and efficient imaging for radiotherapy planning.

    ingenia rt

    MR-only radiotherapy


    Our innovative MRCAT (MR for Calculating ATtenuation) clinical applications lets you plan radiation therapy using MRI as primary imaging modality. Within just one, fast MR exam, MRCAT provides both excellent soft-tissue contrast for target and OAR delineation and CT-like density information for dose calculations.

    This not only extends the benefits of MRI’s excellent soft-tissue contrast to radiotherapy planning, but it also eliminates arduous, error-prone CT-MRI registration from the process, reducing uncertainties and complexity. 

    mr linac

    MR-linac simulation package for Elekta Unity

     

    The Philips Ingenia MR-RT simulation platform with MR linac simulation package is an ideal complement to Elekta Unity. With consistent workflows and image quality from MR simulation through to online MR guidance during radiation treatment, it will let you exploit the many similarities and synergies between Philips Ingenia MR-RT and Elekta Unity.

    It is very good that we can collaborate with Philips to improve the knowledge on MRI in Radiotherapy in the radiotherapy community"

    Marielle Philippens, MD, PhD

    Associate Professor at University Medical Center Utrecht, The Netherlands.

    Learn from your peers and broaden your network


    Successful implementation of MRI in the RT department requires workflow modifications, comprehensive training and collaboration across departments. The volume of information and planning needed can be challenging. Fortunately, our active and engaged user community is committed to advance the use of MRI in radiotherapy. Learn from their insights on implementation and best practices.

    MR Body Map

    MR Body Map


    Explore clinical cases that demonstrate the use of MRI for RT planning.
     

    Peer-to-peer training MRI in RT

    Peer-to-peer training MRI in RT


    An ideal opportunity for teams on the path to increase the level of MRI integration in their treatment planning workflows and who are seeking to deepen their knowledge and learn from best practices.


    The tailored training by our partnership hospital helps multi-disciplinary teams of radiation oncologists, medical physicists and radiotherapy technicians to successfully implement MRI for treatment planning.

    Read experiences on clinical implementation of MRI in Radiotherapy

    The confident path to treatment

    The confident path to treatment


    Philips offers a proven portfolio of dedicated radiotherapy solutions that span diagnostic imaging to treatment planning. By integrating tools, systems, and software – we help you to improve patient care, accelerate time to treatment and enhance patient satisfaction, while maximizing the value of your investment.

     

    Together with Philips, you can make your workflow simple, fast, and precise from start to finish. And be certain you can deliver consistent treatment results.

    *  Tested in a non-clinical environment with single Pinnacle3 user and a 5-beam IMRT plan. Excluding time for optional manual adjustments.
    ** Njeh, J Med Phys. 2008, 33(4). Segedin et al., Radiol. Oncol. 2016, 50(3).

    You are about to visit a Philips global content page

    Continue

    You are about to visit a Philips global content page

    Continue

    Our site can best be viewed with the latest version of Microsoft Edge, Google Chrome or Firefox.